Trabajo practico Nº2 Tejido Epitelial de revestimiento

Trabajo Practico Nº2 Tejido de Revstimiento

Traquea



Muestra de tejido traqueal Humano: Tenido con H&E, Se Logra observar El Epiteliio de Reve
stimiento Ciliado con Celulas Caliciformes (EP), Tambien en esta fotografia se logra observar 
la Membrana basal Subllacente al mismo epitelio (Bm), Escala X40

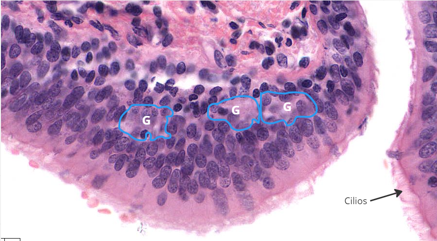
En esta Imagen con un aumento X400 en el cual se puede observar las células Caliciformes (G) 
las cuales se obvservaria de mejor manera si utilizamos la Tinciòn de PAS con Ácido Periódico 
ya que son PAS + par esta Tinciòn, Ademas se logra ver con mejor definición a los Cilios y su 
base de cuerpos basales con mayor eosinofilia debido a la presencia de diversas proteínas

Epidermis


En este corte histología de la Epidermis con tinción H&E, se logra observar las queratinas en la parte mas superior del preparado estas células se caracterizan por producir Cito-queratina, ademas podemos diferencias según la intensidad de la Eosinofilia la diferencia entre las dos capas superficiales de la piel "Epidermis y Dermis"
En esta imagen Aumento x400 se pueden observar las distintas formas de los estratos de la 
Epidermis, En la porción apical del tejido podemos diferenciar Celulas Planas "con un núcleo
aplanado" mas inferior a este células cubicas con un núcleo mas redondo y contiguo a la BM 
Células cilíndricas-

RIÑON-NEFRONA










Comentarios

  1. Muy Bien Fabri, las fotos están preciosas. Lo que sí cuando usas fotos de plataformas está bueno que cites la página que usaste. Yo les mostré una pero hay un montón que podés explorar.
    En la foto de riñon la identificación del túbulo contorneado proximal y distal están invertidos.
    El resto todo muy bien identificados

    ResponderEliminar

Publicar un comentario

Entradas populares de este blog

Tejido Nervioso

Cerebelo y medula

Linfático Bazo y Timo